Man Sticks Cannabis In His Nose, Forgets About It For 18 Years
Published on December 4, 2019 at 11:29 AM by Mc Noel Kasinja
275 words • approx. 2 min read
An Australian man suffered numerous sinus infections over an 18-year period before doctors finally smoked out the cause: good ol’ cannabis.
No, not in the way you’re thinking: This guy stuck a packet of pot up his nose just before going into prison and then forgot about it.
The 48-year-old patient finally realized his breathtaking situation thanks to doctors at Sydney’s Westmead Hospital, where he was referred after complaining of headaches.
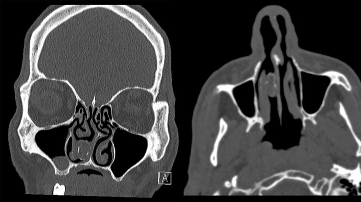
According to a study published earlier this week in BMJ Case Reports, appropriately titled “Nose out of Joint,” a CT scan showed what looked like a calcified lesion in the nasal passage.
When surgeons went in for a closer look, they ended up removing what the report described as “a rubber capsule containing degenerate vegetable/plant matter.”
Yeah, yeah, pictures or it didn’t happen. Here you go: 
Doctors removed the object and later engaged the patient in what the report called “specific questioning.”
At that point, the man remembered an incident in which he was about to go to prison and his girlfriend gave him a parting gift of some weed in a rubber balloon.
The man inserted the bud-filled balloon up his right nostril, but ended up inhaling it further than he expected, to the point where he thought he had swallowed it.
And he forgot about it, despite suffering numerous sinus problems since the indica inhalation.
The man is breathing easier these days. According to the report, he reported a complete resolution of his nasal issues after having the weed removed.